内科医きよすけのブログ

私 きよすけの勉強用のものです。(旧名takuwaningのブログ、昔アカウント名がけんだったころもあります)運営者は医学的助言を行っておりません。当ブログの情報の利用は自己責任でお願いします。

眼科(けん国試)

【OCT】【国試本題】

きよすけの一言「予告編が出ました! やっと外にでた!」https://youtu.be/3paHgkXTl0s 【予告編】就職試験結果発表 いかんせん編 第0話-4【東京ヒヤリハット】 宣伝終わり! 問題 71 歳の男性。左眼で物がゆがんで見えることを主訴に来院した。3 か月前に気付 い…

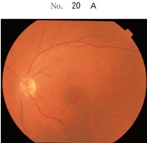
【虚血性視神経症】

きよすけの一言「discordって良いもんですね。今のところ満足感しかないです。」 問題虚血性視神経症について誤っているものを選べ #けん国試 選択肢a 水平半盲をきたすb 非動脈炎性は主に両目に症状をきたすc 治療にはステロイドを用いるd 乳頭浮腫を認める…

【急性出血性結膜炎】【ヘルペス角膜炎】【電気性眼炎】【細菌性結膜炎】

きよすけの一言「見えてきた、卒試の終わりが・・・見えてきたぞッ!!!」 問題文以下の疾患と特徴の関係の中で誤っているものを選べa 急性出血性結膜炎、b ヘルペス角膜炎、c 電気性眼炎、d クラミジア結膜炎 #けん国試a 手足口病と病原微生物が一緒b 角膜…

【けん国試ベース】【眼科】

けん国試ベースとは・・・ 国試を解いていく上で「いやそれはもう知っておかないとどうしようもないよ」となる前提知識のことである。勘違いしないでほしいが医学生として知っていて当然の知識では決してない。 当日、思いつくのは無理。これは覚えておこう…

【緑内障】

きよすけの一言「忘れらんねえよ ってバンド(今一人だけど)好きなんですけど国試前のこの時期 忘れらんねえよなことが多すぎて八つ当たりで心象悪くなってしまっている・・・ごめん柴田さん・・・(ギターボーカルの人)」 問題 75歳女性。急激な目のかす…

外眼筋と支配神経

動眼神経→内直筋、下斜筋、上直筋、下直筋滑車神経→上斜筋 外転神経→外直筋

【視力】【表記方法】

きよすけの一言「眼科って一番行ってる病院かもしれない」 問題視力の記載 V.S=0.3(1.2×S-3.0D)について正しいものはどれか。 選択肢a 右眼の視力である。b 矯正視力は0.9である。c 遠視である。d 凹レンズを使用している。 答え